“我现在感觉好多了!谢谢中国医生,你们是最棒的!”3月13日,在南京鼓楼医院骨肿瘤亚专科病区,BOUKTIR YOUSSOUF完成了在南京的最后一次复查,他向医生们竖起了大拇指,开心地说道:“CHINESE DOCTOR,GOOD!”
一份信任,非洲患者跨越两万里来南京手术
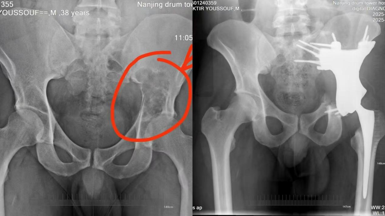
患者BOUKTIR YOUSSOUF来自非洲的阿尔及利亚,今年39岁,在阿尔及利亚体检时发现左侧髋部病变3年,近1年来出现疼痛伴活动受限。BOUKTIR YOUSSOUF的髋部病变不是简单的关节炎,预估是长了肿瘤,切除后还需要骨盆重建。阿尔及利亚当地医疗条件有限,无法完成如此复杂的骨盆切除重建手术。
救治之路在何方?后经过留学同学介绍,BOUKTIR YOUSSOUF和他的亲人了解到在中国这方面也具有成熟的手术技术,并且治疗能够负担。“我们搜索了很多文献,看了世界保肢大会上南京鼓楼医院王守丰主任的发言,看到了这里很多成功的案例,最终下定决心来到南京来治疗。”BOUKTIR YOUSSOUF说。
一路护航,切除病损后3D打印完成骨盆重建
2024年12月19日,BOUKTIR YOUSSOUF在南京鼓楼医院王守丰主任医师门诊完善磁共振(MR)检查,疑为软骨瘤肉瘤。2024年12 月23日,行经皮穿刺骨活检,病理结果显示为软骨源性肿瘤(软骨肉瘤)。由于患者病灶局限,王守丰主任医师团队建议进行完整切除后进一步评估。
2025年1月4日,BOUKTIR YOUSSOUF入院,王守丰主任医师团队与其及家属进行了全面的沟通,制定了“骨盆病损切除+骨盆重建”的个性化手术方案。
“这种骨盆的肿瘤在整个骨肿瘤领域都是非常有挑战性的,因为骨盆的解剖结构比较复杂,髋部病损部位离大血管和内脏都比较近,常规手术并发症会比较多。”王守丰主任告诉记者,随着科技制造的发展,3D打印假体已经成为常规手术的有效补充。“我们会预先制作一个截骨导板,预切除后再植入定制的3D打印假体,两相配合可以达到肿瘤精准切除以及假体精准匹配的效果,最大程度地保留更多正常的骨骼和关节结构,最大限度地恢复行走和运动功能。”
“从住院安排到各种检查再到手术排班,患者的治疗过程整体比较顺利。”南京鼓楼医院骨科副主任医师徐磊磊告诉记者,手术节点临近春节,用血较为紧张“骨盆病损切除术+骨盆重建术”术中缺血一般会达到2000-3000毫升,“我们进行了长达10天的准备,通过义务献血等一点点‘囤’够了手术备血,顺利完成了手术。”徐磊磊告诉记者,随着恢复进程,BOUKTIR YOUSSOUF术后疼痛逐渐缓解,切口愈合良好,术后病理结果确认为“软骨肉瘤,部分区域为去分化为高级别梭形细胞肉瘤”。
根据病理结果,医疗团队与患者及家属讨论后,制定进一步治疗计划。术后患者经过康复训练,左髋关节活动度逐步改善。随着伤口恢复,于术后一个月拆除切口缝线,未见感染或并发症,患者也很快转入康复医院进行康复治疗。
留心异常疼痛,科学质量提升疗效与生活质量
3月13日,BOUKTIR YOUSSOUF回到南京鼓楼医院做最后一次复查,此时的他虽然坐着轮椅,但已经可以自主从轮椅上站起来,借助步行器也能正常行走了。复查的结果,BOUKTIR YOUSSOUF恢复很棒,周六即可按照原计划返回阿尔及利亚。
王守丰主任也提醒,软骨肉瘤并不是一个常见病,但如果有异常骨痛,也应当引起重视。引起骨骼疼痛的疾病很多种,有些可以自行缓解或经过服用止痛药物及休息缓解。对于不能缓解的骨骼疼痛,尤其是夜间痛,应该及早就医。如果发现骨质破坏或骨质改变,可以在普通骨科医生的建议下去骨肿瘤专科门诊或骨肿瘤专业医生门诊就诊,必要时可以在医生的建议下进行下一步的检查,通过病理活检以明确诊断。如果确诊软骨肉瘤,患者也不必轻易丧失信心。在北京、上海等全国多中心的努力下,中国的软骨肉瘤切除及骨盆重建等技术在世界范围内已处于领先地位,南京鼓楼医院也在此领域积累了丰富的治疗经验。随着精准切除病损、3D打印等技术的进步,患者可以最大程度切除病损,恢复行走和运动功能,提升生活质量。
通讯员 王春霞
新华日报·交汇点记者 杨彦

新华报业网
Android版
iPhone版