步履蹒跚,无法跳跃,甚至莫名的哀鸣——这些是它们身体结构发出的无声警报。宠物骨科与神经外科,正是重建这副生命框架的精深艺术。我们依托CT、MRI与神经电生理检测,精准透视骨骼结构与神经通路的每一处异常;凭借显微外科技术与定制化植入方案,应对从复杂骨折、椎间盘疾病到脊髓压迫等各类疑难重症。瑞派骨科与神经外科专家团队,以工匠精神对待每一台手术,不轻视任何一次步态的异常,不放弃任何一丝功能恢复的可能。因为我们坚信,每一次自由的奔跑与跳跃,都源于强健的筋骨与畅通的神经。我们致力于成为生命活力的守护者,支撑起毛孩子本该无忧的灵动人生。
【宠物心脏科经典病例】
Part1:杜浪,瑞派骨科与神经外科专科组长,昆明瑞派恒佳宠物医院院长
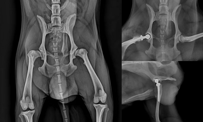
杜浪院长曾接诊一例3岁博美公犬,就诊前表现出双后肢无力、行动受限等症状。经系统体格检查与影像学评估,杜院长发现其双侧髋关节形态异常,活动度显著受限,最终确诊为“犬双侧髋关节发育不良”。
考虑到患犬比较年轻且生活质量受到严重影响,在与主人充分沟通后,杜院长决定实施全髋关节置换术,以重建关节功能、缓解疼痛并恢复肢体支撑力。
该病例的手术难度集中体现在两方面:其一,患犬髋臼增生磨损,呈典型“扁平髋”形态,对术中髋臼杯的定位与打磨精度提出极高要求;其二,股骨侧存在畸形的大转子结构,严重影响股骨柄植入的中心化与稳定性。面对这一复杂的关节重建挑战,杜浪院长凭借丰富的骨科经验与精准的术前规划,在术中成功完成髋臼修整等一些列操作,实现了生物学固定与力学对线。
手术顺利完成,患犬在术后恢复良好,肢体功能逐步改善,为后续对侧手术奠定了良好基础。
本例手术的难点不仅在于关节严重变形背景下的精准重建,更在于如何在有限的操作空间中兼顾力学稳定与长期愈合潜力。杜浪院长在此过程中展现出深厚的关节外科功底、对复杂骨结构的处理能力,以及在高难度择期手术中把握细节、控制风险的专家风范。
该病例也表明,对于严重的髋关节发育不良,全髋置换术是一项从根本上改善生活质量的有效治疗方式,而成功的关键在于精准的术前评估、熟练的手术技术以及系统的术后康复管理。
Part2:曹浪峰,苏州瑞派曹浪峰宠物医院主治医生
曹浪峰医生接诊的一例9岁泰迪犬“毛小宝”,就诊前出现步态异常、频繁抬脚及被抱起时突发尖叫等表现。经检查,确诊为左后肢髌骨内侧脱位(3级),虽可手动复位,但在自然状态下持续脱位,严重影响患犬行动能力与生活质量。
为精准评估骨骼结构与软组织状态,曹浪峰医生为患犬安排了CT扫描。影像学检查显示,其股骨形态基本正常,但存在明确的胫骨骨骼畸形,并伴有相应软组织改变。基于这一关键发现,曹医生决定施行胫骨畸形矫形手术,同步进行软组织修复,从根本重建髌骨稳定性与下肢力线。
该病例的难点在于准确识别导致髌骨脱位的主导因素,并在骨骼矫形与软组织平衡之间实现协同重建。曹浪峰医生通过CT影像的精准评估,明确将手术重点放在胫骨矫形上。
术后,“毛小宝”步态显著改善,行动能力基本恢复,疼痛行为消失。这不仅展现了曹浪峰医生在髌骨脱位矫形领域的技术实力,为高龄患犬的功能恢复提供了专业可靠的诊疗路径。
Part3:宋火松,瑞派宠物医院镇江区域总院长
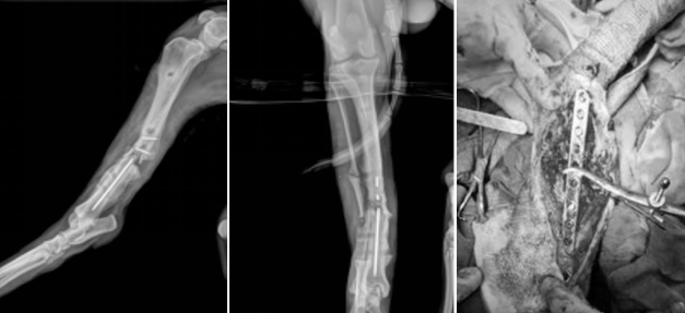
宋火松院长接诊过一例极具挑战性的骨科病例——一只3岁多的萨摩耶犬“暴雪”,其右侧胫骨骨折,虽经三次手术干预,仍未能实现骨愈合,发展为复杂的陈旧性骨折。
该病例的骨科治疗面临严峻挑战:骨折断端存在明显骨缺损,周围形成肥厚性骨痂,同时伴有骨轴线对位不齐,这些因素共同导致骨愈合环境极差,传统固定方式难以奏效。
面对这一难题,宋火松院长制定了系统性的“翻修”手术方案。手术采用胫骨内侧入路,在清理骨折断端间填充的软组织后,首先使用克氏针在断端钻孔创造新鲜化界面,随后将块状与颗粒状骨修复材料精准填充于骨折间隙,最后以引导补片完整包裹材料及断端区域,为骨再生构建了稳定的生物学环境,并辅以胫骨内侧骨板提供坚强固定。
患犬在术后第三天即实现负重行走。系列X线评估显示,术后4周骨缺损明显缩小,骨间隙出现连续骨组织连接;6周时骨折线趋于模糊;至12周时骨折线完全消失,实现了影像学与临床上的双重愈合。
这一成功案例充分展现了宋火松院长在复杂骨科翻修手术中的精湛技艺,其通过先进骨修复材料的创新应用与生物力学固定的完美结合,为顽固性骨折不愈合提供了有效的解决方案,标志着其在骨科重建领域的技术高度。
【瑞派宠物骨科与神经外科介绍】
瑞派骨科与神经外科专科组汇聚了杜浪、曹浪峰、宋火松、吴泉太、刘玉龙、吴静、李成豪等一批临床经验丰富、技术实力雄厚的专家团队。他们以深厚的专业积淀与协同协作精神,共同构建起覆盖全国的技术服务网络。
依托完善的硬件支持,团队全面开展各类高难度手术,包括:犬猫全髋置换术,前十字韧带断裂的TPLO、TTA、脑室分流、脑肿瘤切除等神经外科手术,寰枢椎脱位固定,各类脊柱手术,以及复杂骨盆与四肢骨折修复术。
每年,瑞派骨科与神经外科团队为全国范围内数千例病患宠物实施手术与系统治疗,帮助它们重获健康与活力。我们以国际化的技术体系、规范化的诊疗流程、系统化的术后康复,为中国宠物的骨骼健康与神经功能重建提供坚实保障,守护每一份奔跑与跳跃的自由。
【瑞派宠物骨科与神经外科代表】
杜浪
毕业于云南农业大学
昆明瑞派恒佳宠物医院院长
擅长小动物骨科与神经外科。熟练掌握TPLO手术技能,较早在云南地区成功开展犬猫髋关节置换术、骨盆两刀切术、青年犬耻骨联合吻合术。
曾担任云南省畜牧兽医学会小动物医学分会讲师、佰陆骨科培训基地特聘讲师、东西部兽医师大会优秀讲师。获得佰陆骨水泥型、生物性髋关节置换双认证。2023年获邀与佰陆骨科讲师成员赴俄罗斯,于圣彼得堡兽医学院与俄罗斯、哈萨克斯坦兽医进行佰陆髋关节系统培训。
曹浪峰
中国农业大学硕士
江苏省宠物诊疗行业副会长
苏州瑞派曹浪峰宠物医院主治医生兼股东
先后获得骨外科、神经外科、眼科白内障及针灸镭射等资质认证。
擅长小动物骨外科,前十字韧带修复术、常规骨骼和关节手术;眼科,结膜瓣、角膜移植、青光眼、白内障手术;中兽医科,针灸中兽医康复;影像科,心脏超声、腹部超声等。
宋火松
南京农业大学硕士
中国兽医协会兽医麻醉(小动物)专科委员会委员
兽医麻醉(小动物)专科第一批专科医师
瑞派宠物医院镇江区域总院长
中国畜牧兽医学会外科分会理事
江苏省小动物诊疗行业协会副秘书长
南京农业大学动物医学院专业学位研究生校外合作导师
安徽科技学院校外指导教师
国际兽医骨科协会(AOVET)会员
瑞派麻醉与软组织外科专科长
瑞派医学技术委员会委员
擅长小动物骨关节外科、软组织外科、麻醉科

新华报业网
Android版
iPhone版